Affordable Dental
Implant Options

All In One Location

Discover Your Custom Implant Solutions Now!

The Most Comfortable, Cost Effective Dental Implant Transformation ever!

If you are living with missing or damaged teeth, you've been through enough stress. Let us take it from here...


In just one day we can facilitate a life changing transformation with dental implants
Are You A Candidate?
Risk-Free Consultation

Results that Last

At Cedar Village Dentistry, you’ll receive personalized care from top dental professionals, all in one convenient location. Our state-of-the-art facility ensures the highest standards of safety and comfort. Led by Dr. Thomas Dooley, our team provides expert care in treatment planning and restorative solutions, ensuring the best possible outcomes.

We stand behind our work!

We now offer a 2-Year Warranty on all Full Mouth Implant Treatments with a Permanent Zirconia Bridge! This gives you peace of mind to know that you are not only getting great value when you move forward with the treatment, but that this treatment will stand the test of time!

*Terms & Conditions Apply*

Who Is A Candidate?

If You 

Are currently dealing with loose or missing teeth

If You

suffer from moderate to severe periodontal disease

If You

suffer from bone loss in your jaw

If You

Are currently in a denture or a partial

Who Is A Candidate?

If You 

Are currently dealing with loose or missing teeth

If You 

suffer from moderate to severe periodontal disease

If You 

suffer from bone loss in your jaw

If You 

Are currently in a denture or a partial

The Right Solution for Every Smile

Explore our dental implant options, using the latest technology to restore your smile beautifully and functionally.

Single Dental
Implant

If you’re missing just one tooth, a single dental implant crown is your best option. It looks and functions just like a natural tooth, restoring your natural chewing ability while preserving your bone structure. This solution will also save you money in the long run by providing a lasting replacement.

Multi-Implant
Bridge

For those missing several teeth, a multi-implant bridge is ideal for filling medium-sized gaps in your smile. These bridges are incredibly strong, offer a permanent solution, and are designed to preserve your bone. A multi-implant bridge provides a life-long replacement that feels and looks natural.

Implant Stabilized Overdentures

Missing lots of teeth? Implant Stabilized Overdentures are a cost-effective alternative to traditional dentures. These overdentures snap into place over 2-4 implants, preventing bone loss while vastly improving your ability to chew and taste food.

Full Fixed Set
of Teeth

A full, fixed set of teeth offers a permanent solution using the latest dental technology to give you a beautiful smile that’s as good as or even better than the one nature gave you. This option is chip and stain-resistant, doesn’t need to be removed, and is custom-designed to fit securely onto 4-6 implants per arch.

Get information on Pricing & Options

Answer these short questions and learn everything you need to know in 60 seconds.

How Do I Start?

In one quick, easy, risk-free consultation you will learn:

To Speak With one of our dental implant experts call now!

You Deserve the Best

When it comes to full-mouth rehabilitation with dental implants, you deserve the highest level of care. At Cedar Village Dentistry, we offer a comprehensive approach with expert treatment planning, surgical precision, and prosthetic artistry—all in one location.

With cutting-edge technology and decades of experience, our team delivers exceptional implant care, ensuring outstanding results for every patient. Dr. Thomas Dooley and their team are trusted to handle even the most complex cases, getting it right the first time, every time.

Empower Your Smile!

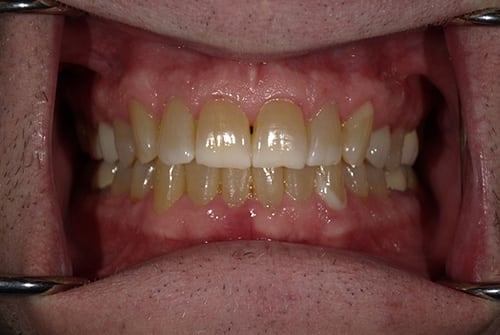
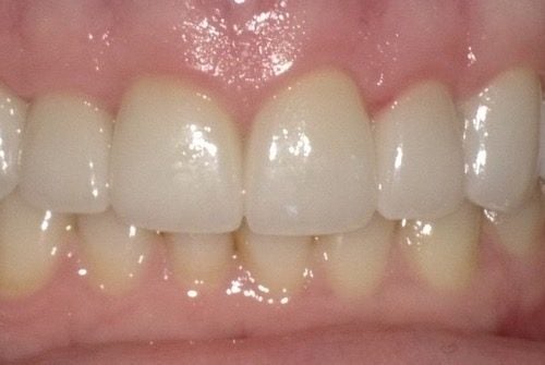
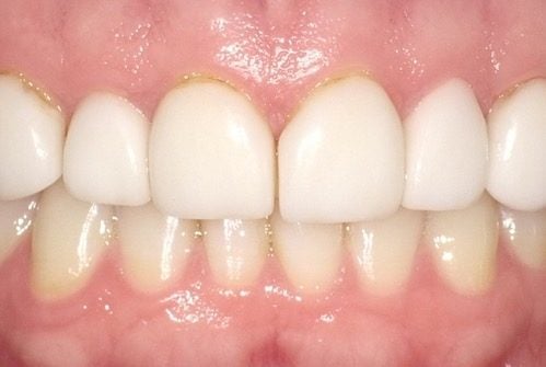
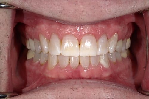
Before After
Before After
Before After

Superior Treatments ... Better Results ... at the Best Price!

Superior Treatments ...
Better Results ...
at the Best Price!

Dentist in
Mason, OH
# 1

Meet Dr. Thomas Dooley

“I knew I wanted to become a dentist since my fifth grade science fair. For my experiment, I placed teeth in beakers of soda. I was astonished by the changes that occurred to the teeth in such a short period of time. What an eye opener!

Today, I’m an enthusiastic dentist striving to provide the best dental care in Mason, OH. I value my relationship with each and every one of my patients and hope we develop lifelong bonds.

I want you to feel happy and confident about your smile and your health.”

Dr. Dooley earned his undergraduate degree with honors from Miami University and his Doctor of Dental Medicine from the University of Kentucky. He completed advanced training in dental implants at the Midwest Implant Institute and IV sedation at Miami Valley Hospital, specializing in general, cosmetic, surgical, and implant dentistry, including All-On-X restorations.

Our Patients tell the story best

Our Patients tell
the story best

Free Consultation

Office Location

5212 Cedar Village Dr
Mason, OH 45040

Office Hours

Monday: 7AM – 7PM
Tuesday: 7AM – 7PM
Wednesday: 8AM – 5PM
Thursday: 7AM – 7PM
Friday: 7AM – 4PM
Every Other Saturday: 8AM – 1PM

Answer The Following Questions To Learn More About Our Pricing And Financing Options.

Insurance Notice

We’re currently unable to accept Medicaid plans. If you have questions about your coverage or would like to explore other options, our team is happy to help.